النمر : دهون القلب أخطر من دهون البطن ومنطقة الحوض
منذ 25 يوم01696

الرياض
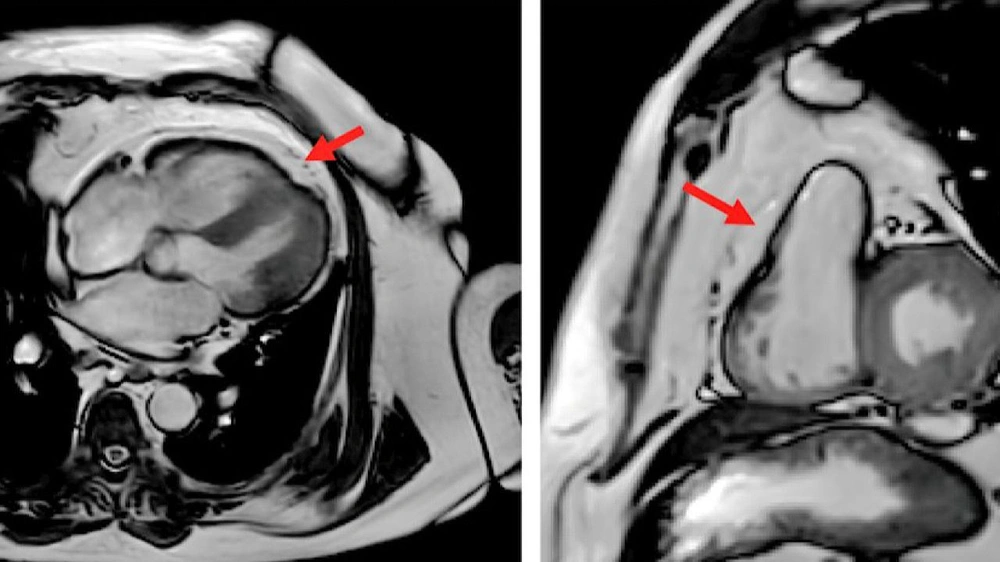
حذر استشاري أمراض القلب والقسطرة الدكتور خالد النمر من مخاطر تراكم الدهون حول القلب.
وقال خالد النمر من خلال صحفته الرسمية عبر منصة إكس : " الدهون حول القلب(EAT)تُصَنِّع هرمونات التهابية تُسَرِّع التهاب شرايين القلب التاجية وترتبط بتضيقها وبحدوث الجلطات فيها خاصةً اذا زادت فوق ٥ ملم في السماكة وهي أخطر من دهون البطن ودهون منطقة الحوض " .
وأكد الدكتور النمر أن الدهون حول القلب تقل من خلال ممارسة الرياضة واتباع الحمية الغذائية، كما يمكن تقليلها باستخدام إبر إنزال الوزن (GLP-1RA) أو عبر عمليات السمنة الجراحية.






