أخصائي يوضح كيفية الحفاظ على عدسات الأسنان "فيديو"
منذ 4 سنة01497

أميرة خالد
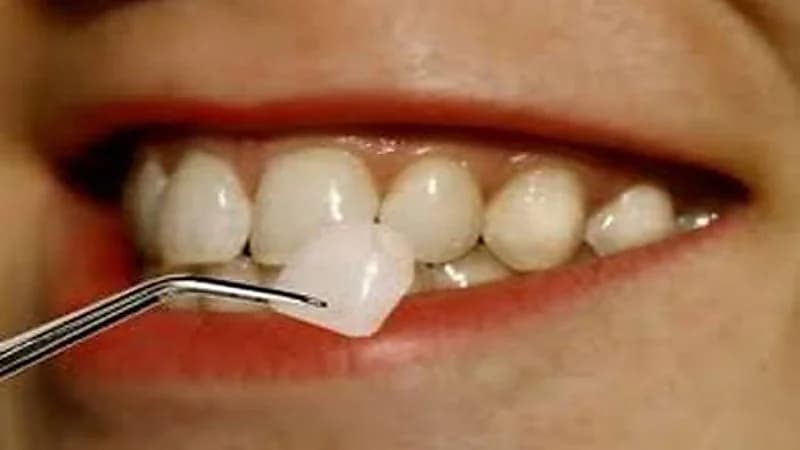
تحدث أخصائي علاج العصب وجذور الأسنان الدكتور زهران عطاطره، عن كيفية الحفاظ على عدسات الأسنان.
وقال زهران عطاطرة:"الاعتماد على عناية الشخص بأسنانه من خلال تفريشها، إضافة إلى الزيارة الدورية لطبيب الأسنان كل 6 شهور".
وأضاف:"لابد من تنظيف الأسنان جيدا ومتابعة الفحص على الأقل كل 8 شهور وأن تكون عدسات الأسنان ذات جودة وبالتالي أضمن أنها تعيش العمر كله".
https://twitter.com/sayyidaty/status/1480916083913670663?s=21